皆さん、こんにちは。
今日はちょっと昔の話になるのですが、骨折をしたことがあるという話をします。
前半は、こちらの記事です。
今日は、続きです。
聖路加国際病院は個室しかなく、1日3万するらしい
聖路加国際病院は、大変セレブな病院なようで、病室が個室しかなく、1日3万円するらしいのです。
そうなると、別の病院で入院をしたほうがいいだろうとのことで、別の病院を紹介してもらうことにしました。
実績もある病院とのことで、家からは少し遠かったですが、江東区の病院を紹介してもらいました。
その時期は、全然病院とかいってなかったので、行きたい病院とかも特になく、まぁそこでいいかと決めましたが、正直、ちょっと通いにくくて、後から少し後悔しました。
こういう時のために、いざって時の病院は調べておいたほうがいいなぁとは思いました。
紹介してもらった病院に改めて診察に
紹介してもらった病院は、かなり古い感じの病院でした。
先生は優しそうな先生で、状況を説明し、改めてレントゲンを撮ってみてみたところ、しっかり骨折していることも確認。
手術が必要である旨も説明されました。
手術日程や手術してから退院までの流れなども説明してくれました。
手術は3日後になりました。
そのころは仕事もしていたので、仕事を休まなければならず、次期的にもかなり重要な時期だったのにやっちまったと思っていました。
手術前日に入院
入院は手術前日でした。
自分は松葉杖のため、荷物は夫に持ってもらって、夫に運んでもらいました。
よく考えたら、夫も仕事があったのに、ずいぶん迷惑をかけたものです。
入院日は、午前中に入院し、いろいろと説明を受けて入院となりました。
麻酔医の先生とか、薬剤師の方とか、次々とやってきて、それぞれいろいろと確認したうえで、明日の手術に備えます。
ちなみに、夫は荷物を置いて、すぐに仕事へと向かいました。
夫よ、ありがとう。
手術当日
手術時間は、順番になるのではっきりしませんと言われていました。
おそらく13時頃と言われていたのですが、結局は14時くらいになった気がします。
全身麻酔の手術なのですが、手術室までは車いすで看護師さんが連れて行ってくれました。
自分でベッドに移動し寝っ転がると、そこからは何もしなくても勝手にいろいろ器具をつけてくれて、麻酔しますねーと言われたら、もう意識がなくなっていました。
次に意識が戻ったのは、手術が終わって、ストレッチャーで運ばれて手術室を出るときでした。
かなりぼーっとしていたので、まだ麻酔が完全に抜けていなかったのでしょう。
酸素マスクもつけてました。
3時間くらい酸素マスクつけていたと思います。
足の痛みは、麻酔が切れてきた数時間後にかなり痛み出し、夜中には痛すぎてすすり泣いていました。
痛すぎるのを我慢していたのですが、我慢できずに看護師さんに寝れないと訴えたら、痛み止めの座薬を入れてくれて、それで少しよくなって、寝れました。
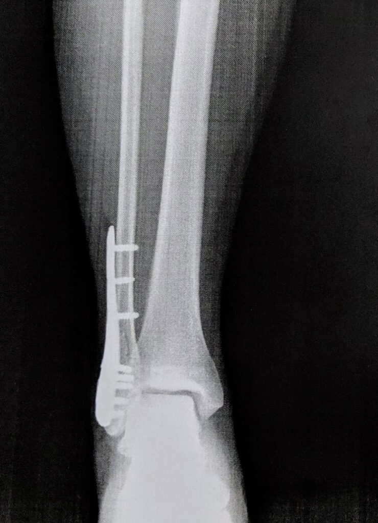
折れたところにプレートをねじで止めているので、そりゃ痛いですよね。

痛いんですよ。
めちゃ痛い。
折れた時も痛かったけど、この手術後の痛みも同じくらいものすごく痛かったです。
きつかった。。。
数日入院。リハビリしながら退院準備
術後の様子はよかったようです。
早い段階で、少しずつ、リハビリしていきましょうと言われました。
入院は1週間程度でした。
思ったより早く退院できてよかったです。
古い病院だったからなのかよくわかりませんが、お風呂には入れなかったので、毎日体を自分で拭いていたのですが、なんとなくすっきりしませんでした。
思ったより早く退院できたのはうれしかったです。
3週間後くらいから少しずつ関節を動かす練習
先生的には、3週間くらいしてからは、足を少しずつ使って関節を動かしていく必要があるとのことでした。
関節が固まってしまうらしいからです。
週1回くらいのスパンで、リハビリに通って、マッサージやストレッチをしてもらっていました。
正直、この時間は気持ちよかったので、好きでした。
ストレッチ、気持ちよかったです。
いい先生で、おしゃべりも楽しかったです。
3か月くらいで普通に歩けるように
松葉杖も1か月半くらいで取れたし、三か月くらいで普通に歩けるようになりました。
右足の関節は、違和感なく動くようになりましたが、左足と比べるとちょっと関節が固くなったように感じます。
まぁ、生活上は困らないので、これでいいかなと思っています。
プレートは1年以内に取る予定だった
プレートを入れた後、このプレートは、1年以内に取っていいそうです。
冬頃になったら相談しようかと先生と話していました。
ただ、次期が2019年だったので、その年の冬、2020年にコロナがはやりだし、行くタイミングを逸してしまいました。
そのため今でもプレートは右足に入っています。
取りたいけど、取るのも怖いという感じです。
最後に
人生初の全身麻酔の手術は結構すごい経験でした。
ご興味ある方がいそうだったら、そのあたりの詳しい記事を書いてもいいのですが、結構前の話なので、今は控えておきます。
骨折は本当に痛いです。
折った時の痛みもすごいですし、そのあとの手術後の痛みもすごいですし、治るまで時間がかかります。
本当に折らないのが一番です。
我が子にも骨折はしないでほしいなと思っています。
ということで、骨折したことがあるというお話でした。
今日も最後まで読んでくださってありがとうございました。

